歯列矯正の症例CASE
-
歯列矯正症例 No.034
20代 / 叢生(乱ぐい歯)の症例叢生(乱ぐい歯・八重歯)インビザライン非抜歯 -
歯列矯正症例 No.033
50代 / 下顎前突(受け口)の症例下顎前突(受け口)インビザライン非抜歯 -
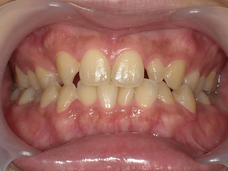
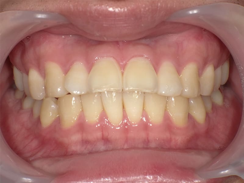
歯列矯正症例 No.032
20代 / 上顎前突(出っ歯)の症例上顎前突(出っ歯)インビザライン抜歯あり -
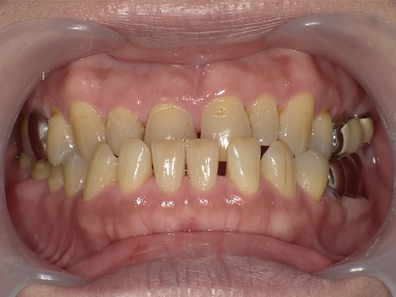
歯列矯正症例 No.031
40代 / 叢生(乱杭歯)の症例叢生(乱ぐい歯・八重歯)非抜歯インビザライン -
歯列矯正症例 No.030
10代 / 上顎前突・開咬の症例上顎前突(出っ歯)開咬(オープンバイト)インビザライン抜歯ありIPRあり -
歯列矯正症例 No.029
40代 / 過蓋咬合の症例過蓋咬合インビザライン非抜歯IPRあり -
歯列矯正症例 No.028
20代 / 空隙歯列(すきっ歯)の症例空隙歯列(すきっ歯)インビザライン非抜歯IPRあり -
歯列矯正症例 No.027
10代 / 空隙歯列(すきっ歯)の症例空隙歯列(すきっ歯)インビザライン非抜歯IPRあり -
歯列矯正症例 No.026
20代 / 開咬(オープンバイト)の症例開咬(オープンバイト)インビザライン非抜歯IPRあり -
歯列矯正症例 No.025
40代 / 下顎前突(受け口)の症例下顎前突(受け口)インビザライン非抜歯 -
歯列矯正症例 No.024
20代 / 下顎前突(受け口)の症例下顎前突(受け口)インビザライン非抜歯 -
歯列矯正症例 No.023
10代 / 下顎前突(受け口)の症例下顎前突(受け口)インビザライン非抜歯 -
歯列矯正症例 No.022
20代 / 下顎前突(受け口)の症例下顎前突(受け口)インビザライン非抜歯IPRあり -
歯列矯正症例 No.021
40代 / 上顎前突(出っ歯)の症例上顎前突(出っ歯)インビザライン抜歯あり -
歯列矯正症例 No.020
上顎前突(出っ歯)の症例上顎前突(出っ歯)インビザライン抜歯あり
ドクターレポート講演実績
当院のドクターが行った講演やセミナーの報告をお届けします。
歯列矯正・インプラント
について
無料でご相談いただけます。
- まずはお悩みをお聞かせください。
-
歯列矯正・インプラントに関する無料初診相談を随時行なっています。治療に関する疑問や不安を解消する場としてぜひご利用ください。

![第31回 関西アライナー・スタディクラブ[2025/08/31] - 河原町歯科・矯正歯科クリニック](https://kawaramachi-kyousei.com/more/wp-content/uploads/2025/09/asc_20250831_06.jpg)
![DIOオルソナビ セミナー in 大阪 [2025/3/30] - 河原町歯科・矯正歯科クリニック](https://kawaramachi-kyousei.com/more/wp-content/uploads/2025/04/dio_seminar_20250330.jpg)