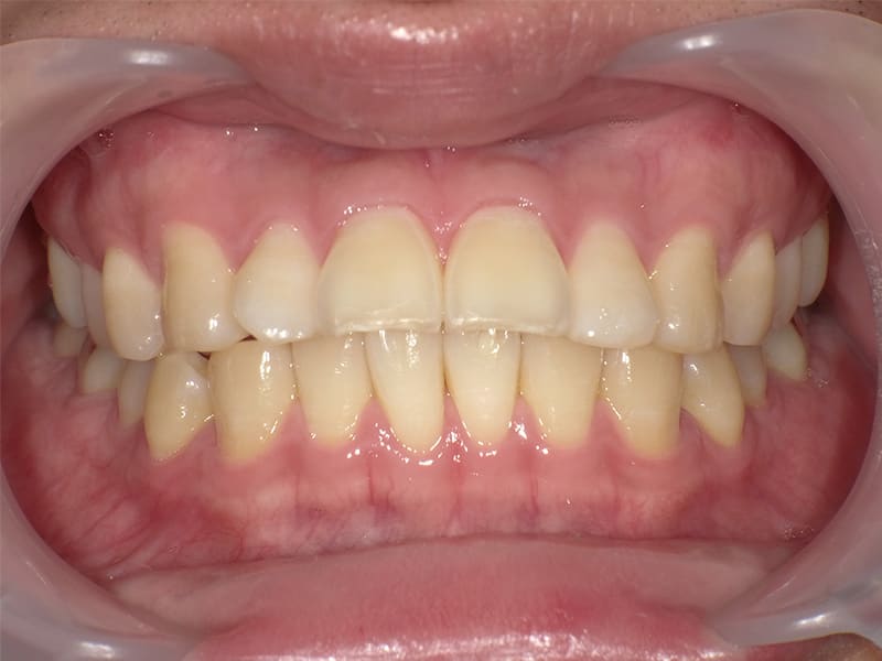
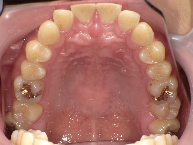
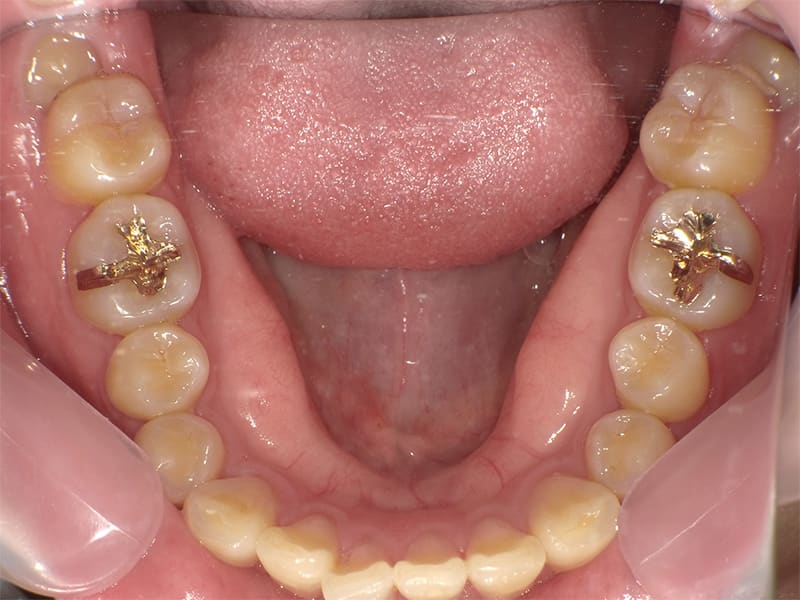
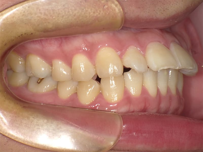
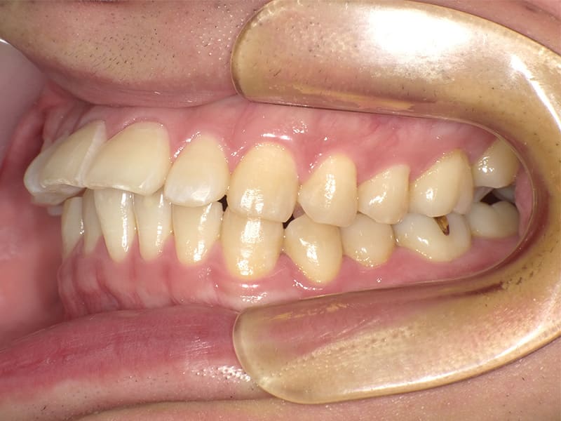
矯正前
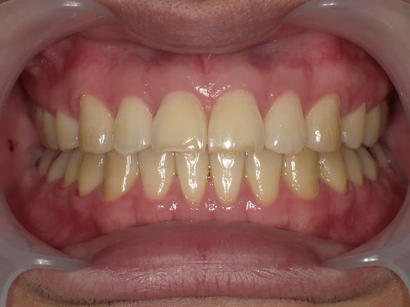
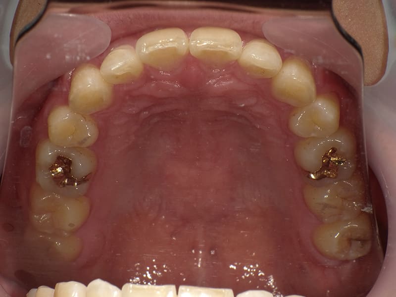
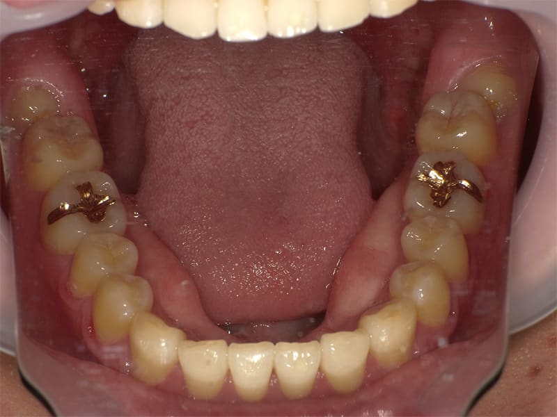
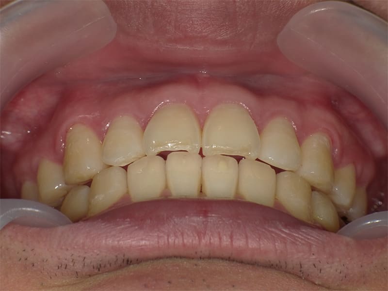
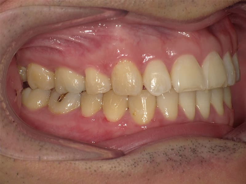
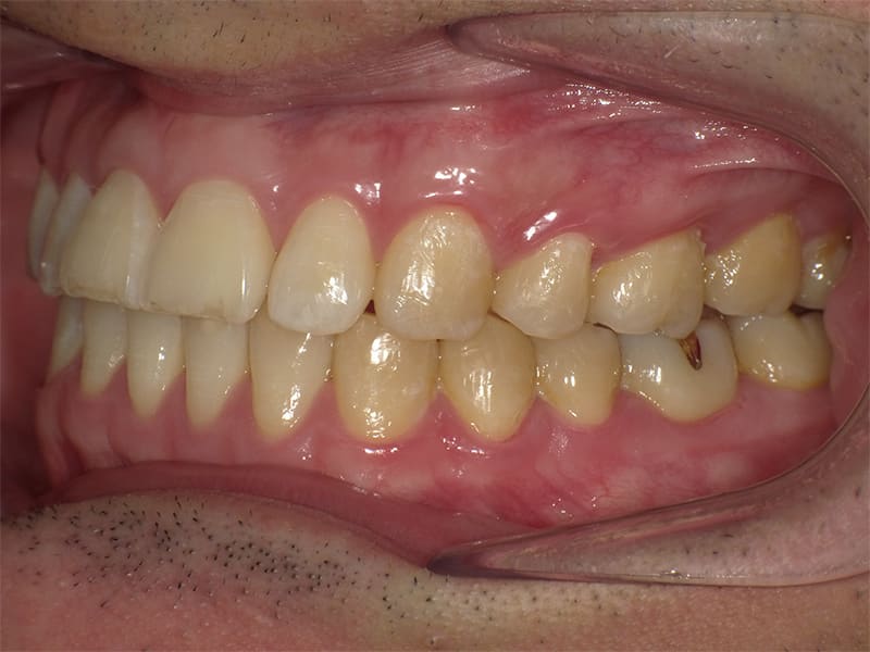
矯正後












※治療結果は、患者様によって個人差があります。
- 主な症状
- 上顎前突(出っ歯)
- 患者様
- 20代 男性
- 治療法
- マウスピース矯正(インビザライン)
- 動的治療期間
- 当初予定:36ヶ月、実際の期間:42ヶ月
- 抜歯の有無
- 抜歯あり(上顎左右第一小臼歯)
- 費用
- 990,000円 税込
(精密検査・診断料 38,500円 税込、矯正費用 951,500円 税込)
※治療当時の費用 - 想定リスク等
- 咬合口径がかなり低く、咬み合わせの高さが上がらないと、抜歯をしても上の前歯が内側に入らない状態です。かなり前歯が前傾しているので、歯軸がしっかり内側に入るかが心配な症例でした。
その他、矯正治療全般に共通する代表的な虫歯、歯周病、歯根吸収、後戻りなどのリスク。
- 【担当ドクターのコメント】
- 下顎を抜歯することなく、咬み合わせもしっかりと上がり、上の前歯は問題なく入りました。口元も変わり、口唇閉鎖も改善されて満足していただけました。