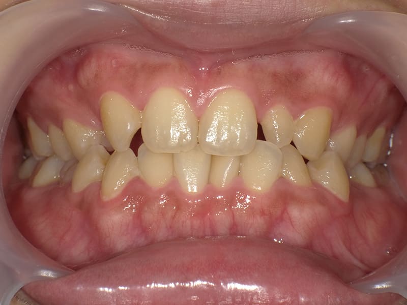
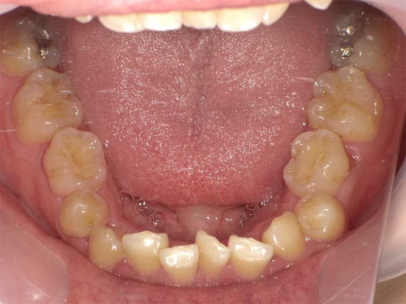
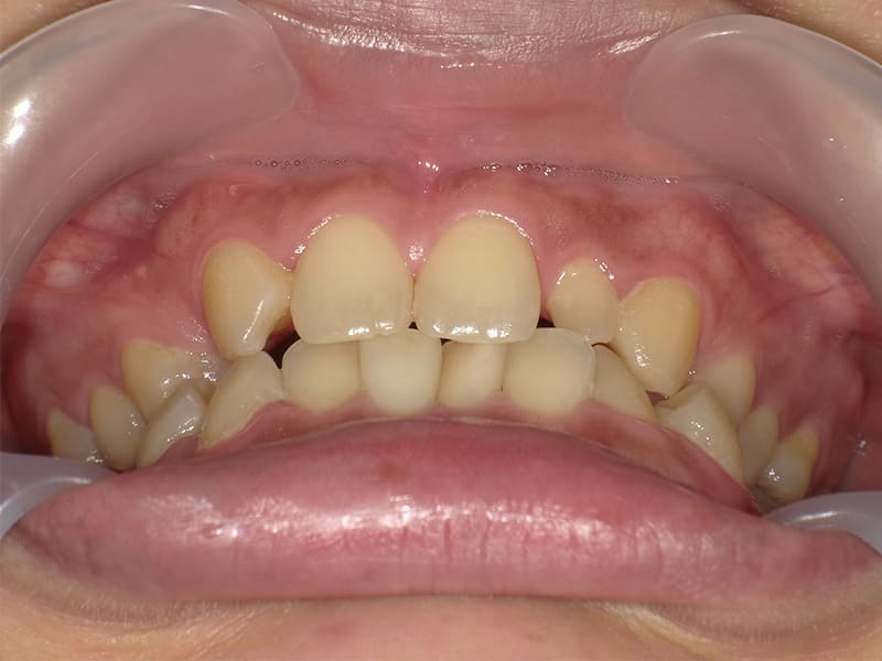
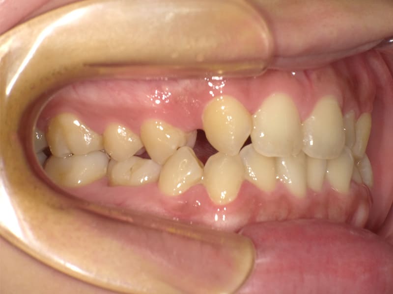
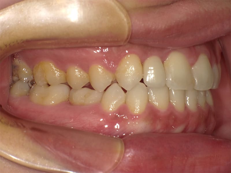
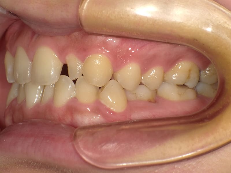
矯正前
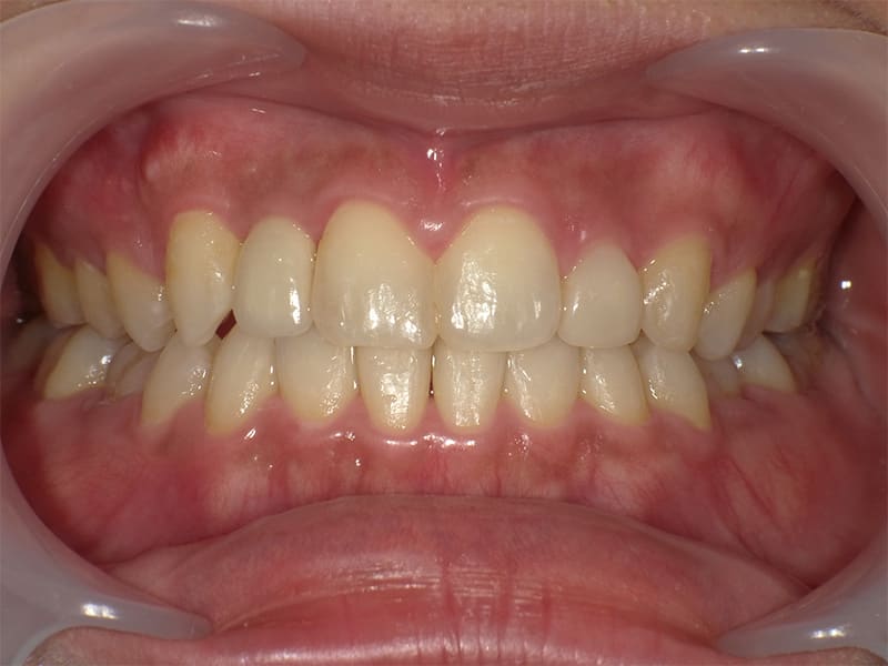
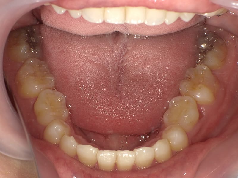
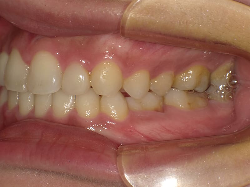
矯正後












※治療結果は、患者様によって個人差があります。
- 主な症状
- 叢生(乱ぐい歯)、上顎右側側切歯が先天的に欠如、左側側切歯は矮小歯
- 患者様
- 20代 女性
- 治療法
- マウスピース矯正(インビザライン)
- 動的治療期間
- 当初予定:24ヶ月、実際の期間:18ヶ月
- 抜歯の有無
- 抜歯なし
- 費用
- 990,000円 税込
(精密検査・診断料 38,500円 税込、矯正費用 951,500円 税込)
※治療当時の費用 - 想定リスク等
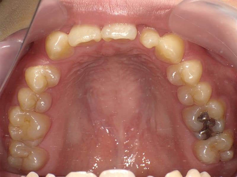
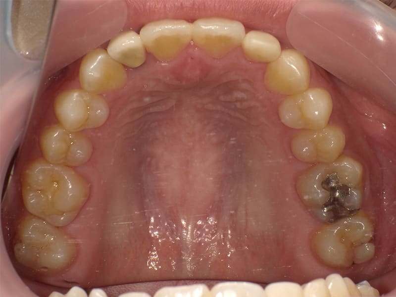
- 下顎も左右第二小臼歯が欠損しており、乳歯が残存している。乳臼歯は永久歯より大きいために前歯の叢生のスペースの確保が難しい事がある。
その他、矯正治療全般に共通する代表的な虫歯、歯周病、歯根吸収、後戻りなどのリスク。
- 【担当ドクターのコメント】
- 上顎前歯の欠損部はインプラント補綴、左側矮小歯は冠せで審美性の回復をするので矯正と補綴治療のコンビネーション治療となりました。インプラントスペースの確保と矮小歯の被せのバランスも良くできたと思います。